#services_global_title#


CENTRO ECOGRAFICO VETERINARIO ECHO VET
INFORMAZIONI
Via Saragat, 17 - 27100 - Pavia (PV)
Si riceve su appuntamento.
Dott.ssa Riscazzi:
Tel: +39 333 2179014
giulia.riscazzi@echovetpavia.it
Dott.ssa Passera:
Tel: +39 378 4119568
stefania.passera@echovetpavia.it

SERVIZI

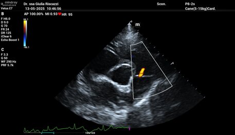
L’ecocardiografia è un esame eseguito tramite ultrasuoni volto a studiare il cuore.
Il paziente viene posizionato in decubito laterale con l’ausilio di appositi tavoli imbottiti per rendere l’accertamento il più possibile confortevole per i nostri pazienti. Con sonde ecografiche appropriate l’ecocardiografia valuta sia la morfologia del cuore, delle valvole e dei grossi vasi come aorta ed arteria polmonare, sia la sua contrattilità e funzione. Il color Doppler usato nell’ambito dello stesso esame ecocardiografico ci permette invece di studiare i flussi di sangue all’interno delle camere cardiache e di stimare le loro velocità e movimenti.
Al giorno d’oggi l’esame ecocardiografico è di fondamentale importanza per lo studio e la cura di un gran numero di patologie e riveste inoltre un ruolo primario nella corretta valutazione pre-anestesiologica dei nostri animali d’affezione.

L'ecografia addominale è un esame che permette di valutare in modo non invasivo e non doloroso le condizioni degli organi situati nell'addome.
Questo esame può essere eseguito in concomitanza di condizioni cliniche che richiedano approfondimenti, come screening in corso di check-up o per controllo di patologie preesistenti.
Per una migliore visualizzazione delle strutture addominali consigliamo di portare il paziente a digiuno solido da almeno 8 ore e con la vescica piena. Maggiori dettagli vengono forniti in sede di prenotazione.

L'ECG o elettrocardiogramma è un esame non invasivo la cui esecuzione dura pochi minuti e permette di valutare il ritmo cardiaco del paziente. Può essere eseguito contestualmente alla visita cardiologica unitamente all'esame ecocardiografico o da solo come screening o monitoraggio.
Tramite delle pinze non traumatiche per il paziente e collegate ad un apparecchio elettrico è possibile registrare ed analizzare l’attività cardiaca elettrica del paziente.
In caso di necessità, presso la nostra struttura può anche essere eseguito l'Holter cardiaco.
L’esame Holter è un monitoraggio ECG non invasivo della durata solitamente di 24 ore. Tramite degli elettrodi applicati sul torace del cane e collegati con cavi ad un piccolo apparecchio, viene registrata l’attività elettrica cardiaca del paziente in modo continuativo.
L’apparecchio viene assicurato al paziente con piccoli bendaggi e con giubbottini e magliette apposite e questo consente al cane o al gatto di poter svolgere le proprie attività quotidiane senza particolari disagi.
Al termine dell’esame la registrazione viene analizzata da personale medico qualificato per ottenere informazioni basilari sulla presenza di disturbi del ritmo, sulla necessità di somministrare farmaci antiaritmici o di modificare terapie antiaritmiche già in corso.
.jpeg)

Presso la nostra struttura possiamo eseguire procedure ecoguidate, monitoraggio della pressione arteriosa ed esecuzione di alcuni esami del sangue (tra cui monitoraggi terapeutici, test genetici e marker cardiaci).